USE CASES
Adnexal Service, Moorfields Eye Hospital NHS Foundation Trust, London, UK
Keywords: conjunctiva, COVID-19, dysplasia, histopathology, telemedicine
Citation: Telehealth and Medicine Today © 2022, 7: 372 - http://dx.doi.org/10.30953/tmt.v7.372
Copyright: © 2022 The Authors. This is an open access article distributed in accordance with the Creative Commons Attribution Non-Commercial (CC BY-NC 4.0) license, which permits others to distribute, adapt, enhance this work non-commercially, and license their derivative works on different terms, provided the original work is properly cited and the use is non-commercial. See https://creativecommons.org/licenses/by-nc/4.0/.
Received: August 8, 2022; Accepted: August 20, 2022; Published: October 26, 2022
Funding Statement: No funding sources need to be disclosed.
Financial and non-Financial Relationships and Activities: The authors declare none.
Corresponding Author: Ofira Zloto, Email: ozloto@gmail.com
In December 2019, the first report of severe acute respiratory syndrome coronavirus 2 (SARS-CoV-2)-related pneumonia was reported in China.1 In just a few weeks, the virus spread worldwide, leading to unforeseen consequences on every aspect of our daily working and social life, as well as to radical changes in healthcare delivery.2 A few months later, on March 11, 2020, the World Health Organization declared the novel coronavirus (COVID-19) a global pandemic. During the early stages of the pandemic, most elective healthcare transitioned to virtual consultation using technology such as video or telephone to conduct visits.3 In our center, most of consultation were made via video. One such case is presented here.
We invite readers to consider our experience and comment regarding their own experiences with telehealth for ophthalmologic, as well as other diagnoses during that period.
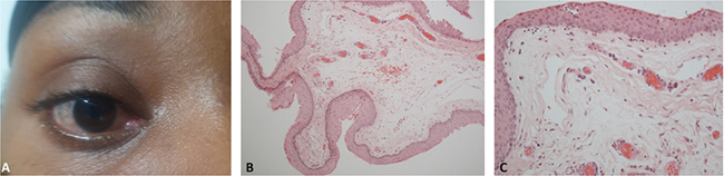
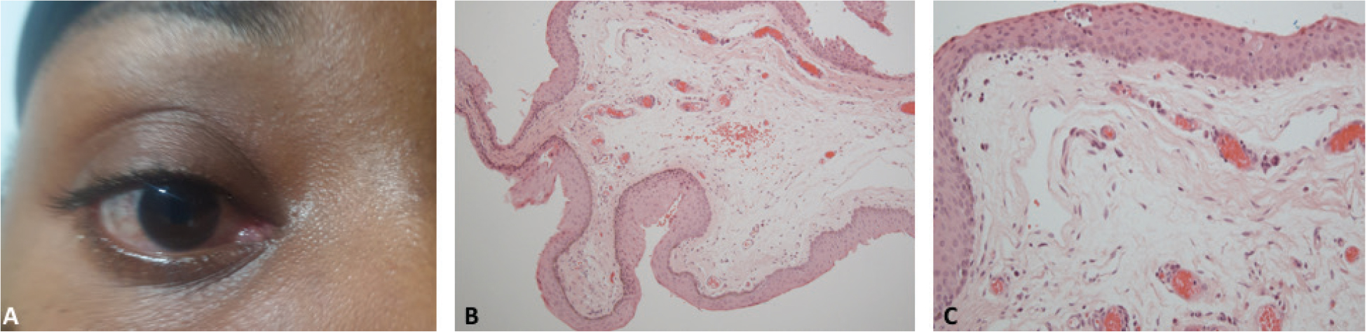
A 28-year-old woman was seen via telemedicine-consultation regarding a 2-month lesion on the right-medial-conjunctiva. This patient reported an initial history of bleeding. On examination, she was diagnosed with conjunctival papillomatous lesion in the caruncle (Figure 1A) and referred for excisional-biopsy. Histopathology revealed conjunctival squamous-papilloma with focal-dysplasia (Figure 1B–C). Due to the risk of malignancy, she was referred for another biopsy, which was benign.

Fig. 1. Clinical signs and histopathological findings in a 28-year-old woman seen via telemedicine-consultation regarding a 2-month lesion on the right-medial-conjunctiva. A: conjunctival papillomatous lesion in the caruncle; B: conjunctival squamous-papilloma with focal-dysplasia; C: areas of focal-dysplasia.
If our patient had been made to wait for evaluation in our clinic, she probably would have arrived with a malignant lesion and not just dysplasia. Therefore, this case emphasizes the importance of telemedicine, especially during challenging times when face-to-face appointments cannot be done—such as during pandemics, or patient disabilities, or long distances to travel.
In our experience, telemedicine can be an important triage tool for new findings in order to determine if in-office evaluation is warranted. Telemedicine increases the number of people evaluated, but decreases how many patients need to get seen in the clinic.
Dr. Zloto was responsible for conception or design of the work, data collection, data analysis and interpretation, drafting the article, final approval of the version to be published. Ms. Dunlop was responsible for conception or design of the work, data collection, critical revision of the article, final approval of the version to be published.
None.
Copyright Ownership: This is an open access article distributed in accordance with the Creative Commons Attribution Non-Commercial (CC BY-NC 4.0) license, which permits others to distribute, adapt, enhance this work non-commercially, and license their derivative works on different terms, provided the original work is properly cited and the use is non-commercial.